TRANSNASAL ENDOSCOPIC SURGERY - Dr. P. THULASI DAS
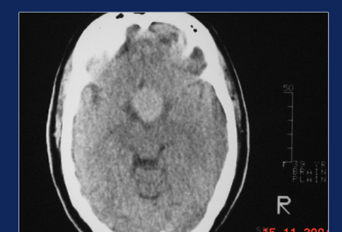
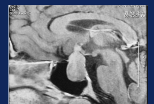
The pituitary gland is a tiny body about the size of a peanut situated at the center of the skull with its stalk attached to the base of the brain. It produces a number of hormones, which control other endocrine glands. Sometimes a tumor of this gland can result in hormonal imbalance with growth and other metabolic derangements. The neurosurgical approach to this gland is fraught with difficulties owing to its location and vision shadow areas, and also injury to cranial nerves and other parts of the brain.
This gland can be very easily approached through the nose under Endoscopic control, since it is just a thin plate of bone away from the sphenoid sinus. Sphenoid sinus is routinely opened during Endoscopic nasal surgery to open the pituitary fosse through this sinus. Complete removal of tumor is possible since there are no vision shadow areas in this approach.
Consult Us
- 
                
Nasal Block
Nasal block only at night or both during day and night is cause for concern. Chronic nasal block has systemic effect.. read more
 - 
                
Repeated attacks of cold
Repeated attacks of cold once or twice a month or every 2 months is not normal. Almost everybody.. read more
 - 
                
Sneezing
Sneezing is a protective reflex. A few sneezes a day, in fact, are good, to clear the nasal cavity and the lungs.. read more
 
- 
                
Watery drip from the nose
Watery drip from the nose can be due to allergic rhinitis, Vasomotor rhinitis or CSF rhinorrhoea.. read more
 - 
                
Anosmia
Anosmia is loss of smell sensation. Nasal polyps, chronic ethmoid sinusitis, chronic nasal obstruction all.. read more
 - 
                
Headache and Heaviness
Headache is the commonest symptom experienced by human beings. There are numerous causes.. read more
 
- 
                
Hearing Loss
Among others, otosclerosis is a common cause for hard of hearing. It is a hereditary condition.. read more
 - 
                
Cleft lip nose
Most primary cleft lip and palate repairs are done by plastic surgeons. There are not many takers for secondary.. read more
 - 
                
Difficulty in breathing
Difficulty in breathing may be due to nasal block or narrowing of larynx or trachea. The narrowing of larynx.. read more
 
